CLEAR PLUS ORTHODONTICS
처음 치과를 방문한다면,
수많은 치과 중 어떤 기준으로
치과를 찾아야 할까요?
원장(치과의사의 실력), 보조인력, 최신 기구 및 장비 보유 세 가지를 중심으로 생각해보시는 것이 좋습니다.
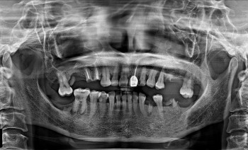
여러 치과를 다녀왔는데
충치 개수가 달라 과잉진료가 의심돼요!
환자도 알 수 있는 기준이 있을까요?
안타깝게도 치과 치료는 수학공식이 아닙니다. 그래서 정답이 있을 수가 없습니다.
교정은 꼭 해야 하나요?
이가 아픈것도 아니고
꼭 해야 하는지 모르겠어요!
교정치료는 다른치과 치료보다 심미적인
요소가 큰 치료입니다.
사랑니 발치,
꼭 대학병원에 가야 하나요?
의료진의 세심한 치료와 정확한 진단이
이루어지는 곳이라면 꼭 대학병원만을
고집할 필요는 없습니다.
충치 치료 재료마다
금액 차이가 많이 나는데
꼭 금이나 레진으로 치료해야 하나요?
현재 치과에서 사용되는 재료나 보철물 종류는
각기 다른 특성이 있고 그에 따른 장단점이 있습니다.
치아 교정은 나이가 어릴 때
빨리할수록 좋은가요?
아니면 적절한 시기가 있나요?
치아 교정은 시기에 따라서 크게 조기 교정과
성인교정으로 나뉩니다.
투명플러스 치과는 환자분들의 만족과
아름다운 내일을 위해 멈추지 않고
노력, 발전하는 과잉진료없는
치과가 될 것을 약속드립니다.
* 특정한 결과를 보장할 수 없으며 개인별 상태에 따라 치료결과는 다양하게 나타날 수 있습니다.
인천광역시 부평구 경원대로 1383, 3 - 5층(부평동)
Tel . 032 - 527 - 7528